在众人眼中的隐适美可能是这样的:


舒适、漂亮、时尚、个性……似乎她迎合了大家对矫治器的所有幻想。不过追本溯源,矫治器本身是为正畸矫治服务的。隐适美的第一属性应该是能够顺利实现医生设计的矫治器。不仅金玉其表,还能良絮其中。
作为矫治器的隐适美,其实还有一些不为人知的优势!以下结合病例说明下相对固定矫治而言,隐适美的一些潜在的优势。
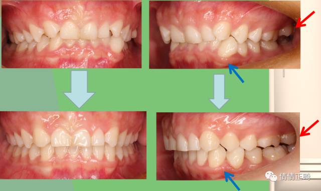
传统的二维诊断设计方法其实无法精确预见到矫治后的牙齿具体位置,而隐适美的三维排牙结果则很大程度上可以重现和预见治疗后的结果。

最终的治疗结果和Clincheck上的方案一模一样

2.对牙齿妙到毫巅的精确控制
由于是典型的数字化正畸技术,对于牙齿控制的精度接近微米级。换句话说就是,如果传统固定矫治器可以将牙齿矫正到肉眼可以辨别的程度的话,隐形矫治器可以将牙齿矫正到肉眼无法识别的微米级别。应该说,扫描的精度以及牙套生产的精度将决定牙齿最后的整齐度。

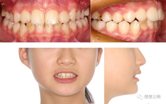
隐适美牙套自带颌垫,对某些颞下颌关节疾病患者可能起到意想不到的神奇功效。


以上是一个关节患者治疗的一部分。这是一个花样年华,却多年来都遭受颞下颌关节习惯性脱臼痛苦的小姑娘。因为内倾型的深覆颌,下颌前伸受限。而因为后牙的锁颌和智齿的影响,下颌后退和侧方运动也同样受到限制。隐适美的膜片巧妙起到了松弛颌板的作用,而排齐、打开咬合以及解决轻中度的锁颌都无需像传统矫治一样需要另外的辅助手段来垫开咬合,快速缓解了关节症状,并有效的避免关节负荷的加重。
矫治还未结束,笑容亦可自然绽放。

4.有利于牙周的维护
隐适美牙套可自行摘戴,可以很方便的刷牙和使用牙线清洁,同时避免了托槽对牙龈的刺激。
最重要的是,我们可以更趋利避害地设计牙齿的移动并进行有效控制, 从而减轻甚至避免牙龈退缩、骨开裂、骨开窗等牙周问题出现。

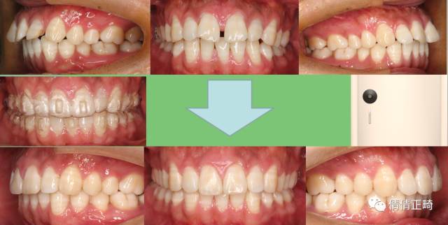
固定矫治中,这不就应该是个拔牙病例?但是隐适美很擅长推磨牙向后!所以……
突度解决了,牙齿也有间隙了。剩下的只需要进一步排齐和调整咬合关系了。


矫正牙齿,你的目标是否和正畸医生一致?